Multispeciality Poly Clinic, Oral Health Care, Implant And Laser Center In Ahmedabad, Gujarat, India



Aashu Dental Clinic proudly introduces Gujarat’s first OPG with CBCT T2 Machine, offering ultra-precise 3D dental scans for accurate diagnosis and advanced treatment planning. Experience faster results, clearer imaging, and safer scanning — all in one revolutionary system designed for excellence in dental care.



Experience the future of dentistry with our advanced intraoral scanner that captures precise 3D images of your teeth within minutes. Say goodbye to messy molds and discomfort — enjoy accurate, painless, and efficient digital impressions for faster and better dental treatments.



Providing advanced multispeciality polyclinic and oral health care, our center is trusted by leading institutions and government organizations. We specialize in implantology, laser dentistry, and comprehensive dental treatments under one roof — ensuring excellence, safety, and patient comfort at every step.



Aashu Dental Clinic welcomes international patients for world-class dental care in Ahmedabad. With advanced technology, personalized treatment plans, and NABH-accredited standards, we ensure a comfortable, transparent, and hassle-free experience — delivering the best results with global precision and care.



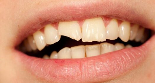
life is too short for bland food, so keep your teeth string and savour the taste



At Green Energy Solar Hospital, we believe healing should be sustainable. Our solar-powered facility reduces carbon emissions while providing world-class healthcare services to communities across Gujarat.



We are NABH Accredited Hospital. NABH is an institutional member of the International Society for Quality in Health Care (ISQUA). ISQUA is an international body which grants approval to Accreditation Bodies in the area of healthcare as mark of equivalence of accreditation program of member countries.

DENTISTS
BRANCHES
HAPPY PATIENTS
YEARS OF EXPERIENCE
At Aashu Dental Clinic, we provide complete dental care with a focus on comfort, precision, and lasting results. From routine check-ups and cleanings to advanced cosmetic and restorative treatments, our expert team ensures healthy, beautiful smiles for every patient. We combine modern technology with gentle care to make every visit a positive experience.

Experience painless, precise, and long-lasting dental implant solutions from trusted specialists.
Read MoreSave your natural tooth with advanced root canal care performed by dental professionals.
Read MoreComprehensive dental restoration solutions tailored to rebuild and rejuvenate your entire smile.
Read MoreEnhance your confidence with our advanced smile solutions. Get brighter, whiter teeth through safe and effective whitening treatments.
Read MoreExperience a radiant transformation with aesthetic dental care. Let our treatments give you the perfect, confident smile you deserve.
Read MoreSafe, gentle, and effective laser dentistry for faster healing and superior results.
Read More
Navrangpura Clinic
Dr. K.K.Shah's Bunglow, B/h. Navrangpura Post Office, Navrangpura, Ahmedabad.Shela Clinic
B/304 , Sky city Arcade, 07 club road , shela , Ahmedabad.